Вернем здоровье и красоту вашей улыбке за один визит. Передовые технологии имплантации с гарантией.
Яндекс, 2ГИС, ПроДокторов
Пройдите тест и получите подарок
Заполните форму, мы пришлем расчет стоимости и закрепим за Вами бесплатную консультацию специалиста и панорамный снимок.
Основные направления
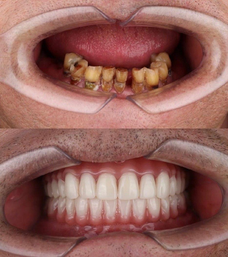
Классическое восстановление одного или нескольких зубов с использованием титанового корня.
Полное восстановление зубного ряда всей челюсти всего на четырех имплантах за один день.
Улучшенная стабильность и распределение нагрузки для пациентов с дефицитом костной ткани.
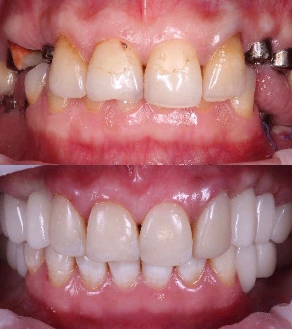
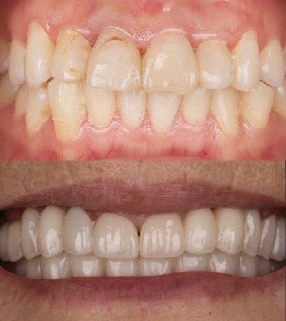
Эстетические коронки, виниры и мостовидные конструкции для безупречной улыбки.
Подберем систему под ваш бюджет
Южная Корея
Южная Корея
Швейцария
Швейцария
Результаты наших пациентов
Вам говорят, что зуб потерян — мы предлагаем имплантацию.
За каждым решением — опыт врачей, точная диагностика и международные протоколы.
Сравниваете цены на импланты?
Стоматолог-ортопед